14 maio , 2024

Em uma jornada única pelo universo do cérebro, convidamos você a explorar os mistérios do Alzheimer através da tomografia e da ressonância magnética. Embarque conosco nesta viagem fascinante enquanto mergulhamos nos estágios da doença, revelando os segredos escondidos nas imagens do cérebro.
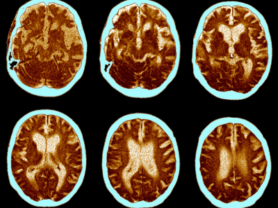
No estágio inicial do Alzheimer, quando os sintomas ainda são sutis, a tomografia computadorizada (TC) e a ressonância magnética (RM) desempenham um papel crucial na detecção precoce da doença. Nestes estágios, as imagens revelam pequenas alterações no cérebro, como a formação de placas de proteína beta-amiloide e emaranhados de proteína tau, que são os primeiros sinais do Alzheimer.
Conforme a doença progride para o estágio intermediário, as imagens de TC e RM se tornam ainda mais reveladoras. Aqui, podemos observar a atrofia cerebral progressiva, o encolhimento de certas áreas do cérebro e a perda de conexões entre as células nervosas. São nesses estágios que os pacientes começam a experimentar sintomas mais evidentes, como lapsos de memória, desorientação e dificuldade de comunicação.
Nos estágios avançados do Alzheimer, as imagens de TC e RM nos levam a uma jornada pelos labirintos da mente, onde a doença exerce seu domínio mais profundo. Aqui, testemunhamos a deterioração generalizada do tecido cerebral, com áreas significativas do cérebro afetadas pela perda de células nervosas e danos estruturais irreversíveis.
Ao longo desta jornada, fica claro que o diagnóstico precoce do Alzheimer é essencial para orientar o tratamento e oferecer a melhor qualidade de vida possível aos pacientes. As imagens de TC e RM não apenas revelam os estágios da doença, mas também fornecem insights valiosos para os médicos e pesquisadores, ajudando-os a desenvolver novas abordagens terapêuticas e aprimorar os cuidados para os pacientes.
À medida que encerramos nossa jornada pelos estágios do Alzheimer através da tomografia e da ressonância magnética, somos lembrados da incrível complexidade e resiliência do cérebro humano. Apesar dos desafios apresentados pela doença, há esperança no horizonte, impulsionada pela dedicação incansável dos cientistas, médicos e cuidadores que trabalham incansavelmente para encontrar uma cura e oferecer uma vida melhor para aqueles afetados pelo Alzheimer. Que esta jornada nos inspire a continuar explorando, descobrindo e lutando por um futuro livre da doença de Alzheimer.
Procure uma de nossas unidades Medcenter espalhadas no nordeste e busque por nossos médicos parceiros e realize seus exames com toda a confiabilidade, tecnologia e segurança que você e sua família merecem.
Conte com a Medcenter Multi e cuide-se!
Fonte: Veja Saúde
Confie em quem é referência em diagnóstico por imagem nos interiores do nordeste e que tem a confiança dos médicos mais renomados das capitais graças a nossa tecnologia de ponta e experiência no mercado.
Responsável Técnico: José Almir de Sá – CRM 2810-PI
© 2024 Medcenter Multi | Todos os Direitos reservados | Desenvolvido por Itrês Digital